Angulated Screw Channel Custom Abutments for GM coming soon!!!...
Angulated Screw Channel Custom Abutments for GM coming soon!!!...
A 3.0 Platform with a 16 degree morse taper that has a deep connection 3.7mm into the implant to create a nice cold weld between both parts (abut and implant)
Yes! That means 1: impression coping, healing abutment, temp abut, final abut would fit any of the 6 diameters of implants in the GM connection.
-Conventional or Digital?
-Castable Abutments or CAD/CAM
-Single Units cementable or use a TiBase abutment.
-Industry Leader in Full Arch

Follow these next 5 concepts and images for the correct restoration of GM Neodent single implants with a morse taper connection and platform switch. Communication to the lab is so important.

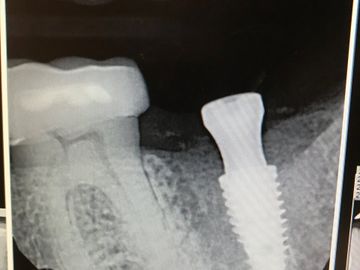
Traditional Impressions will tell the lab where the top of the tissue is and where the implant is positioned below by attaching to coping. IT WILL NOT tell the lab where the implant is in relation to bone with out an x-ray sent to lab with prescription.

Send an X-ray to the LAB so they know where the implant is in relation to bone. This x-ray above shows the tussie measurement gauge finger tightened down on implant.

Tissue Measurement Gauge: In both surgical and restorative kits. The black lines indicate different tissue hieghts that match our healing abutment heights and the margins on our abutments.

the yellow lines on the xray indicate that both a 1.5 and 2.5 gignival margin on abutment would work for margin height selection of abutment.

Matching concept puts a flat on flat connection of abutment part up against the platform of the implant (like a Butt Joint) bad for bone maintenance. Non-matching: starts a more narrow connection on the implant with an arrow abutment that emerges out gradually. GM has a 3.0 platform

Was the implant placed Crestal or Subcrestal? The lab needs to know to create narrow emergence profile initially. Share an x-ray so lab can choose correct margin and design.

Critical that the Labs design your restoration CONCAVE at platform to emerge through bone and tissue, then change to convex shape later for tooth design and contacts.

Make sure you tell the lab the size of your healing abutment: Their final abutment will match the same emergence profile of your healing abutment. YES, your abutments will look smaller in diameter and emerge out. "Tomato on a popsicle stick"

Most important: the margin of the abutment should be 1.5mm-2.0mm above the bone AND 1-2mm below the gingival margin on buccal
3 Things NOT typically shared with the LAB!
Download this quickguide to go step by step through a single unit restoration process, including the parts numbers for ordering.
Abutment margin is so important....
Follow the same emergence profile of all the healing abutments and stock components

diameters: 3.3, 4.5, 5.5, 6.5

abut heights: 4 and 6mm (unless custom)

gingival heights: 0.8, 1.5, 2.5, 3.5, 4.5, 5.5

diameters: 3.3, 4.5, 5.5, 7.0

PEEK Healing Abutment.
5.5 diameter x 3.5 height

even on xray can see notches on side of tissue gauge
read tool at top of tissue, then select margin of abutment 1-2 mm subgingival


upper lateral with "hybrid abut" titanium base, zirc pillar, then cemented zirc crown.

Add a description about this item


custom abut replaced immed load temp lower anterior

Universal Abutment 4.5 diameter x 2.5mm ging margin

The implant and Healing abutment have bone growth up and around the Healing abutment on a 3.0 platform. reviewing abutment with tissue model removed on model there's abutment material all the way out to edge of implant. IT WILL NEVER SEAT!

This will never seat in the mouth, blanch tissue or get hung up on bone and not seat.

instead choose 1.5 or 2.5 margin on abutment, build out emergence from platform better.

instead choose 1.5 or 2.5 margin on abutment, build out emergence from platform better.
A brief walkthrough of the GM system with a morse taper connection and a platform switch. Implant level impression: closed tray coping, how to use the torque wrench, and a tibase base final abutment for a screw retained single unit restoration.
Organizing your kit, torque wrench use, tissue measuring gauge.....
Prosthetic Kit Part #'s